Zirconium Crown on Implant

Zirconium Crown on Implant
Zirconium Crown on Implant

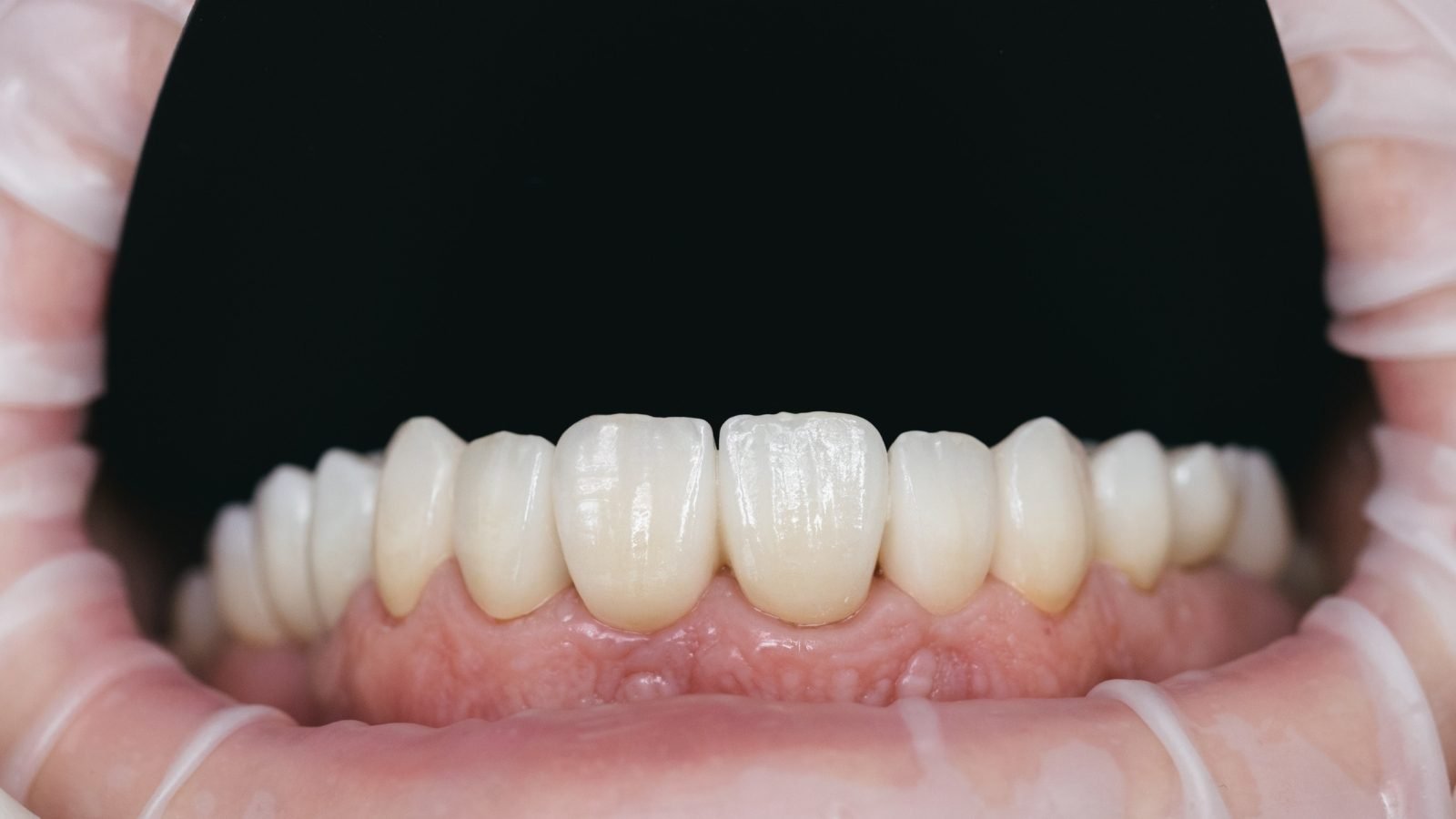
For individuals who require dental restorations, the Zirconium Crown on Implant stands out as a leading choice. It combines the resilience and strength of a dental implant with the aesthetic appeal and biocompatibility of a zirconium crown, ensuring patients receive a restoration that is both functional and visually pleasing.

Understanding the Zirconium Crown on Implant

A Zirconium Crown on Implant consists of a dental implant, usually made from titanium, fused to the jawbone, and a zirconium crown affixed on top. Zirconium is famed for its durability and natural appearance, making it an ideal material for dental crowns. The crowns are customized to match the size, shape, and color of the surrounding teeth, providing a seamless, natural look.

Why Choose Zirconium Crown on Implant?

  1. Aesthetic Excellence: Zirconium crowns exhibit a translucent quality, closely resembling natural teeth, allowing for aesthetic restoration.
  2. Biocompatibility: Zirconium is known for its compatibility with the human body, reducing the risk of allergic reactions.
  3. Durability: Zirconium crowns are highly durable and resistant to cracks and fractures.
  4. No Metal Fusion: Zirconium crowns do not require a metal base, preventing any potential metal allergies and avoiding dark lines at the gum margin.

Procedure Overview

The process involves an initial consultation and assessment to determine the suitability for the treatment, followed by the placement of the dental implant. After a healing period allowing for the implant to integrate with the bone, impressions are taken to create a custom zirconium crown, which is then affixed to the implant.

Benefits of Opting for Zirconium Crown on Implant

  • Enhanced aesthetic appeal due to the translucency of zirconium.
  • Improved oral health and prevention of jawbone loss due to the stimulation provided by the implant.
  • Long-lasting restoration with minimal maintenance requirements.
  • Comfort and functionality similar to natural teeth.

The Zirconium Crown on Implant is a testament to the advancements in dental restorative procedures, offering a blend of aesthetics, functionality, and durability. If you are considering a dental restoration, Tana Clinic provides this premium service, ensuring meticulous attention to detail and personalized care to meet your unique needs. Our expert team is committed to helping you achieve your desired results, guiding you at each step to regain your smile with confidence.

Appointment

Surgical Estimates

Stay Updated with Tana Clinic's Exclusive Insights!

Join our email list and be the first to receive the latest news, special offers, and expert advice on Hair Transplants, Dental Services, and Aesthetic Procedures from Tana Clinic Istanbul.

Decoding Zirconium Crown on Implant: Your Questions Answered

Explore our detailed FAQ section to unearth insights and address any reservations or queries you might have about the Zirconium Crown on Implant service.

Zirconium Crown on Implant is a superior choice due to its excellent aesthetic appeal, durability, and biocompatibility. It offers a natural appearance, closely resembling natural teeth, and its durability ensures longevity, making it a cost-effective solution in the long run.

The procedure is typically carried out under local anesthesia, ensuring minimal discomfort. Any postoperative pain is generally manageable with prescribed or over-the-counter pain relievers.

With proper oral hygiene and regular dental check-ups, a Zirconium Crown on Implant can last for many years, often exceeding 15 to 20 years, making it a long-term solution for dental restoration.

Zirconium Crown on Implant requires the same care as natural teeth: regular brushing, flossing, and dental check-ups are essential. Avoiding hard and overly sticky foods can help prevent damage to the crown.

Yes, if a Zirconium Crown gets damaged, it can be replaced without affecting the underlying implant. Consultation with the dental professional is needed to assess the damage and decide the appropriate course of action.

While the initial investment might be higher compared to other options, the longevity, minimal maintenance requirements, and aesthetic benefits of Zirconium Crown on Implant make it a cost-effective solution in the long term.

Absolutely, one of the benefits of choosing a Zirconium Crown is that it does not require a metal base, making it a suitable choice for individuals with metal allergies.

Stroke 6 Stroke 4 Group 8 Stroke 4 Stroke 6 Stroke 3 Stroke 2 Stroke 1 Group 9 Stroke 1 Stroke 2 Stroke 3 Group 8 Stroke 4 Stroke 6
HELP?
X
Appointment